Američanka Heather Von St. James zistila, že nevinný zvyk z detstva jej spôsobil agresívnu rakovinu. Pracovná bunda jej otca, ktorú nosila na zohriatie, bola plná azbestového prachu. Napriek zdrvujúcej diagnóze a prognóze 15 mesiacov života sa nevzdala. Dnes, o takmer 20 rokov neskôr, je bez rakoviny a šíri osvetu po celom svete, informuje The Mirror.
Ako dieťa si dnes 57-ročná Heather z Minnesoty často obliekala otcovu tmavomodrú bundu, keď išla von kŕmiť zajace. Netušila však, že odev z 80. rokov je plný nebezpečného azbestového prachu z otcových šicht na staveniskách.
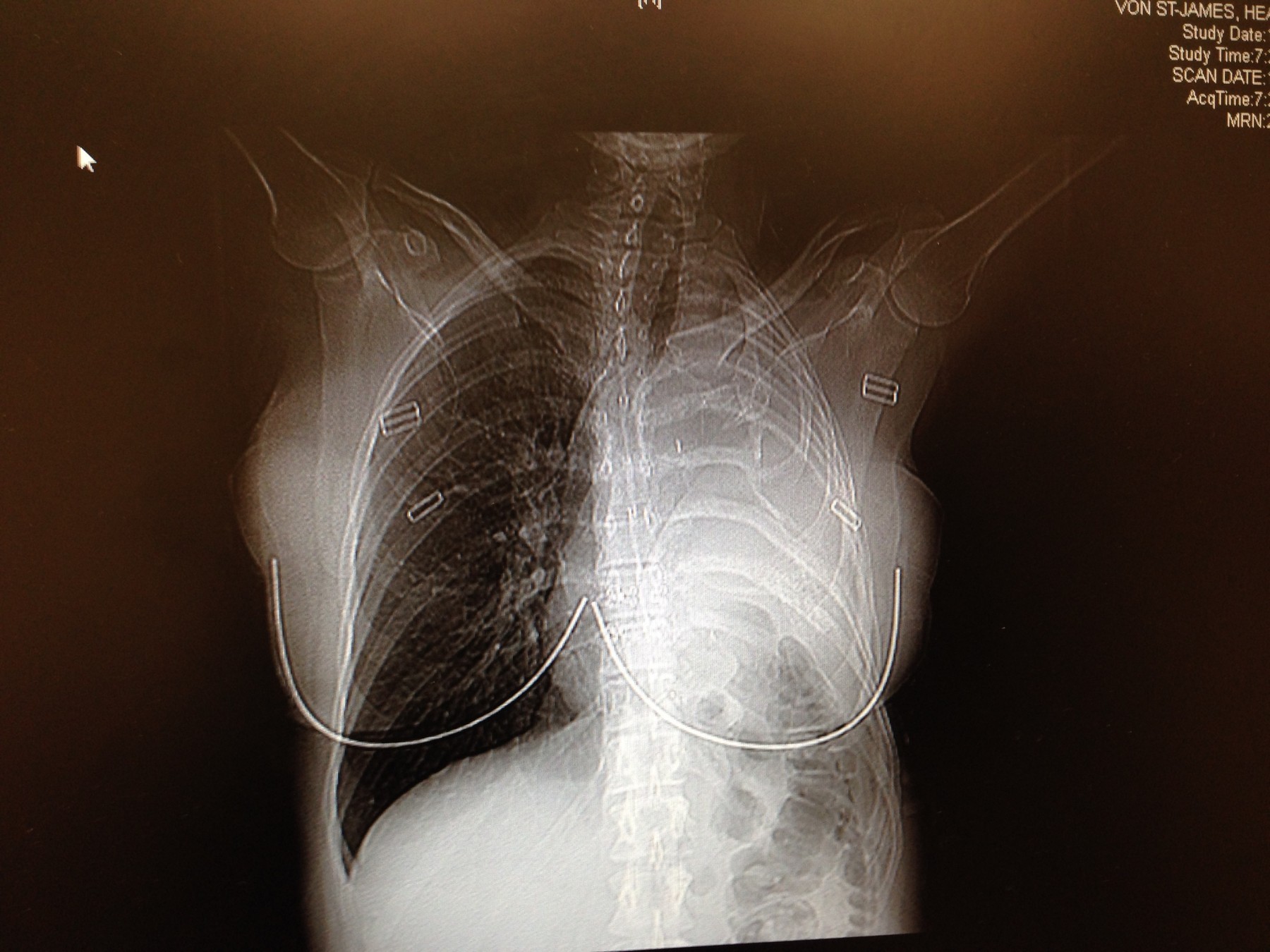
Následky tohto vystavenia sa prejavili až o desaťročia neskôr. Keď mala Heather 36 rokov a stala sa po prvýkrát matkou, začala pociťovať extrémnu únavu a horúčky. Príznaky najskôr pripisovala bežnému popôrodnému vyčerpaniu a návratu do práce kaderníčky. CT vyšetrenie však odhalilo šokujúcu pravdu: išlo o pleurálny mezotelióm, agresívnu formu rakoviny pľúc spôsobenú azbestom. Lekári jej dávali maximálne 15 mesiacov života.
Heather odmietla tento verdikt prijať. Odletela do Bostonu, kde podstúpila extrémne náročnú operáciu. Chirurgovia jej odstránili rebro, celé ľavé pľúca, pleuru, časť bránice a dokonca aj výstelku srdca, ktorú nahradili syntetickým chirurgickým materiálom Gore-Tex. Nasledovala priekopnícka „vyhrievaná“ chemoterapia aplikovaná priamo do hrudnej dutiny, ďalšie štyri kolá bežnej chemoterapie a 30 ožarovaní.
Zákrok bol úspešný a lekárom sa podarilo odstrániť všetky viditeľné stopy rakoviny. Dnes je Heather už takmer dve desaťročia zdravá. Život s jednými pľúcami jej síce prináša každodenné fyzické obmedzenia – zadýcha sa na schodoch a nemôže nosiť ťažké veci – no napriek tomu zasvätila svoj život pomoci iným.
Cestuje po svete ako advokátka pacientov a dodáva nádej čerstvo diagnostikovaným ľuďom, že medicína dnes dokáže zázraky. Jej otec Roland, ktorému osudná bunda patrila, zomrel v roku 2014 na rakovinu obličiek. Lekári sa domnievajú, že aj v jeho prípade zohralo smrteľnú rolu práve vystavenie azbestu.
