Verity Phillips (35) vo februári 2022 diagnostikovali glioblastóm a lekári jej predpovedali len 12 až 18 mesiacov života. Po tom, ako odpadla v práci, si myslela, že problémy jej spôsobuje nová medikácia, no jej stav sa rýchlo zhoršil a musela byť prevezená do nemocnice, informuje Mirror. Vyšetrenia odhalili nádor na mozgu a chirurgovia jej odstránili prebytočnú tekutinu a vykonali biopsiu, ktorá potvrdila prítomnosť rakoviny.
V apríli 2022 podstúpila druhú operáciu, pri ktorej lekári odstránili 89 percent nádoru. Nasledovalo šesť týždňov ožarovania a 12 mesiacov chemoterapie. Tri roky po diagnóze Verity prežila svoju pôvodnú prognózu a jej pravidelné MRI vyšetrenia ukazujú stabilný stav.
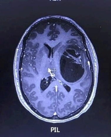
Bývalá farmaceutická pracovníčka opísala, že bola spočiatku úplne zmätená a vystrašená. Do nemocnice ju priviezli v pyžame bez osobných vecí, obklopenú lekármi, ktorí sa jej pýtali otázky, na ktoré sotva dokázala reagovať. Keď jej ukázali snímku mozgu s nádorom, bola zdrvená. Lekári jej povedali, že bez liečby by mohla žiť len niekoľko mesiacov, s liečbou možno 12 až 18.
Po operácii sa musela znovu učiť chodiť, variť a robiť bežné veci. Najskôr žila v presvedčení, že všetko bude v poriadku, no keď liečba skončila, dopadla na ňu realita. Priznala, že smútila za životom, ktorý stratila, no rozhodla sa, že choroba ju nedefinuje.
Spolu s manželom Dannym (36), ktorý pracuje v oceliarskom priemysle, a ich štyrmi deťmi - Oscarom (15), Cameronom (13), Edith (12) a Dexterom (11) - sa dnes venuje zbierkam a zvyšovaniu povedomia o nádoroch mozgu. Jej manžel priznal, že po stanovení diagnózy sa im zrútil svet, no Verity zostala neuveriteľne silná a aj deti prejavili veľkú odvahu.
Matka sa teraz snaží dodávať nádej ostatným pacientom. „Glioblastóm je krutý. Väčšine pacientov lekári dávajú len rok až poldruha života. Ja som tieto predpovede prekonala, no potrebujeme viac výskumu, aby aj iní dostali šancu,“ hovorí.
